-
- Tổng tiền thanh toán:

Quan Hệ Không An Toàn – Ẩn Họa Khôn Lường Đối Với Cả Nam Và Nữ
Quan hệ tình dục là nhu cầu sinh lý tự nhiên của con người, giúp gắn kết cảm xúc và duy trì hạnh phúc lứa đôi. Tuy nhiên, quan hệ tình dục không an toàn lại tiềm ẩn rất nhiều nguy cơ sức khỏe nghiêm trọng mà không phải ai cũng ý thức đầy đủ. Bài viết dưới đây sẽ giúp bạn hiểu rõ hơn về những rủi ro khi quan hệ không an toàn và thời điểm cần xét nghiệm các bệnh lây truyền qua đường tình dục (STDs/STIs).
Link mua Bao cao su giúp quan hệ an toàn

Quan hệ tình dục không an toàn là gì?
Quan hệ tình dục không an toàn là khi bạn không sử dụng biện pháp bảo vệ (như bao cao su), hoặc sử dụng sai cách, khiến bạn có thể tiếp xúc trực tiếp với tinh dịch, dịch âm đạo, máu hay các dịch tiết khác của đối phương.
Hình thức này bao gồm:
- Quan hệ âm đạo, hậu môn hoặc bằng miệng không dùng bao cao su.
- Chia sẻ đồ chơi tình dục mà không vệ sinh sạch sẽ.
- Quan hệ với nhiều bạn tình, không rõ tình trạng sức khỏe của họ.

Nguy cơ mắc bệnh khi quan hệ không an toàn
Dưới đây là những bệnh lý phổ biến có thể lây truyền qua đường tình dục nếu không sử dụng biện pháp bảo vệ:
1. HIV/AIDS
HIV là virus gây suy giảm miễn dịch, khiến cơ thể không thể chống lại các bệnh nhiễm trùng khác.
Người mắc HIV có thể không có triệu chứng trong nhiều năm, nhưng vẫn có khả năng lây cho người khác.

2. Bệnh lậu
Do vi khuẩn Neisseria gonorrhoeae gây ra, lậu khiến người bệnh bị tiểu buốt, chảy mủ ở niệu đạo hoặc âm đạo, đau rát khi quan hệ.
Nếu không điều trị kịp thời, bệnh có thể gây viêm tinh hoàn, viêm vòi trứng và vô sinh.

3. Giang mai
Bệnh do xoắn khuẩn Treponema pallidum gây ra, biểu hiện bằng vết loét nhỏ, không đau ở cơ quan sinh dục, miệng hoặc hậu môn.
Giang mai giai đoạn muộn có thể ảnh hưởng tim mạch, thần kinh, thậm chí đe dọa tính mạng.

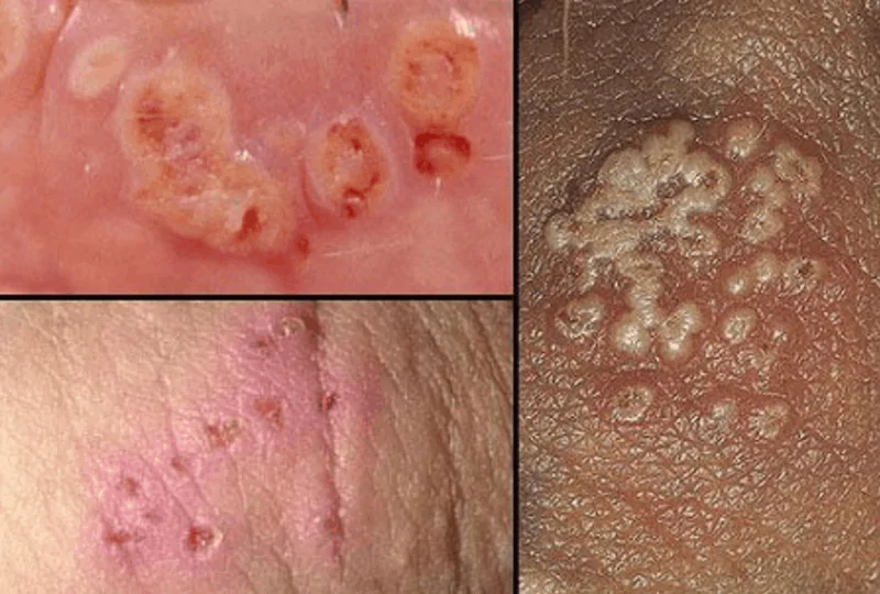
4. Mụn rộp sinh dục (Herpes)
Do virus HSV-1 và HSV-2 gây nên, biểu hiện bằng mụn nước nhỏ, đau rát vùng kín.
Bệnh có thể tái phát nhiều lần và chưa có thuốc chữa khỏi hoàn toàn.

5. Nhiễm HPV (virus gây u nhú ở người)
HPV là nguyên nhân hàng đầu gây mụn cóc sinh dục và ung thư cổ tử cung ở phụ nữ.
Nam giới cũng có thể bị ung thư dương vật hoặc hậu môn nếu nhiễm HPV lâu dài.

6. Viêm gan B, C
Hai loại virus này có thể lây qua đường tình dục, máu hoặc dùng chung vật dụng cá nhân.
Bệnh viêm gan B, C có thể tiến triển thành xơ gan, ung thư gan nếu không phát hiện sớm.

Khi nào cần đi xét nghiệm bệnh lây qua đường tình dục?
Bạn nên chủ động xét nghiệm sớm trong các trường hợp sau:
- Đã từng quan hệ không dùng bao cao su.
- Có nhiều bạn tình hoặc quan hệ với người không rõ tiền sử sức khỏe.
- Xuất hiện triệu chứng bất thường: ngứa, rát, chảy dịch, nổi mụn vùng kín, đau khi tiểu hoặc khi quan hệ.
- Sau khi bị xâm hại tình dục.
- Trước khi kết hôn hoặc mang thai, để đảm bảo an toàn cho cả mẹ và bé.
Lưu ý: Một số bệnh có thời gian ủ bệnh dài (như HIV, giang mai), vì vậy bạn cần làm xét nghiệm định kỳ sau 3–6 tháng kể từ lần quan hệ không an toàn gần nhất để có kết quả chính xác.
Tham khảo các mẫu Bao cao su chính hãng:
- Bao cao su Olo 001 siêu mỏng chính hãng giá tốt
- Bao cao su đôn dên gai Pretty Love Silicon lỏng
- Bao cao su cấp ẩm HA Mingliu Zhiye chính hãng - Hộp 100 cái

Cách phòng tránh quan hệ không an toàn
- Sử dụng bao cao su đúng cách trong mọi hình thức quan hệ.
- Không dùng chung đồ chơi tình dục hoặc phải vệ sinh kỹ trước khi dùng.
- Tiêm phòng HPV và viêm gan B.
- Khám và xét nghiệm định kỳ 6–12 tháng/lần, đặc biệt nếu có đời sống tình dục tích cực.
- Trao đổi thẳng thắn với bạn tình về tình trạng sức khỏe và biện pháp bảo vệ.

Quan hệ tình dục không an toàn không chỉ là hành vi “liều lĩnh” mà còn có thể đe dọa sức khỏe sinh sản và tính mạng. Việc xét nghiệm sớm và định kỳ là bước quan trọng để bảo vệ bản thân và người bạn yêu thương.
Hãy nhớ rằng: tình dục an toàn không làm giảm khoái cảm, mà là cách thể hiện trách nhiệm và sự tôn trọng lẫn nhau.
Đọc thêm các chủ đề tình dục hấp dẫn:
- Thủ Dâm Có Làm Thay Đổi Kích Thước Dương Vật Không? Chuyên Gia Giải Đáp
- Ăn gì để có làn da đẹp, khỏe mạnh và rạng rỡ từ bên trong?
- Khám Phá Quần Lọt Khe – Biểu Tượng Gợi Cảm Của Phụ Nữ Thời Hiện Đại
Tags:
quan hệ không an toàn
Che tên sản phẩm
Khuyến mãi HOT
Bảo hành 1 đổi 1 trong 21 ngày